COSMETIC TREATMENTS
A consultation for cosmetic work by Jalpesh is 30 minutes and requires a £30 deposit (refundable). An appointment can be booked online or by calling the practice on 01483 274664.
Cosmetic options available:-
- Teeth whitening (£380)
- Composite bonding (from £195 per tooth)
- Invisalign (from £2000)
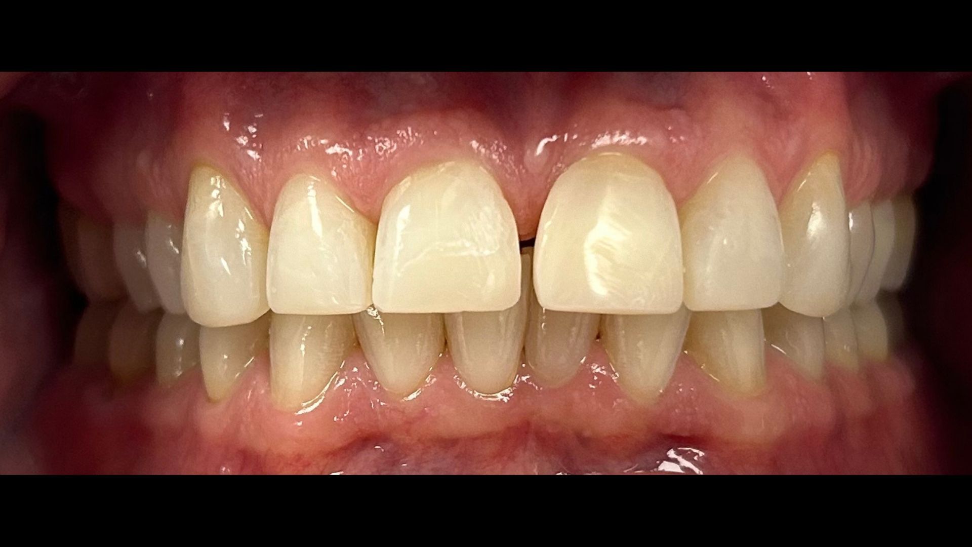
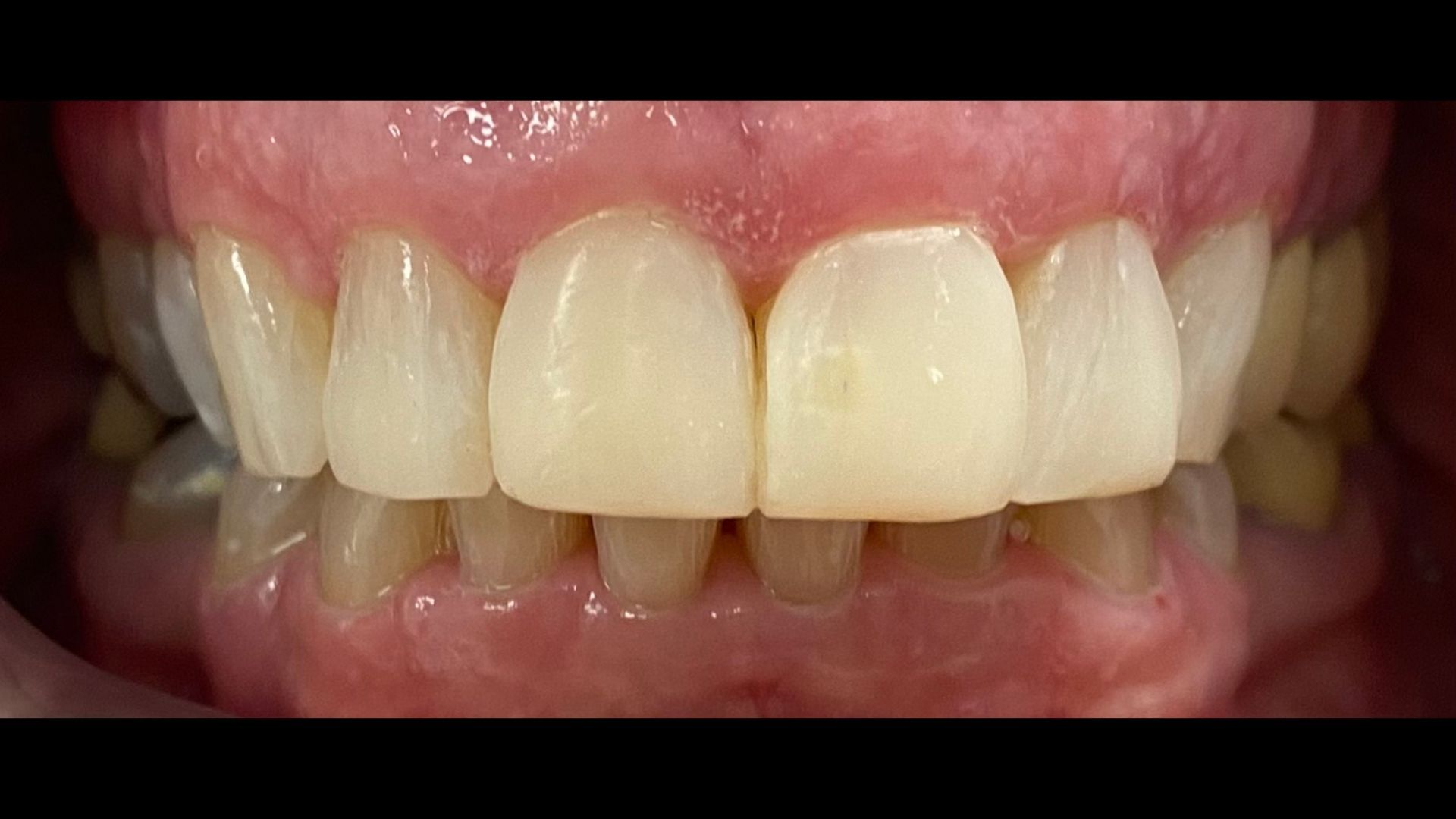
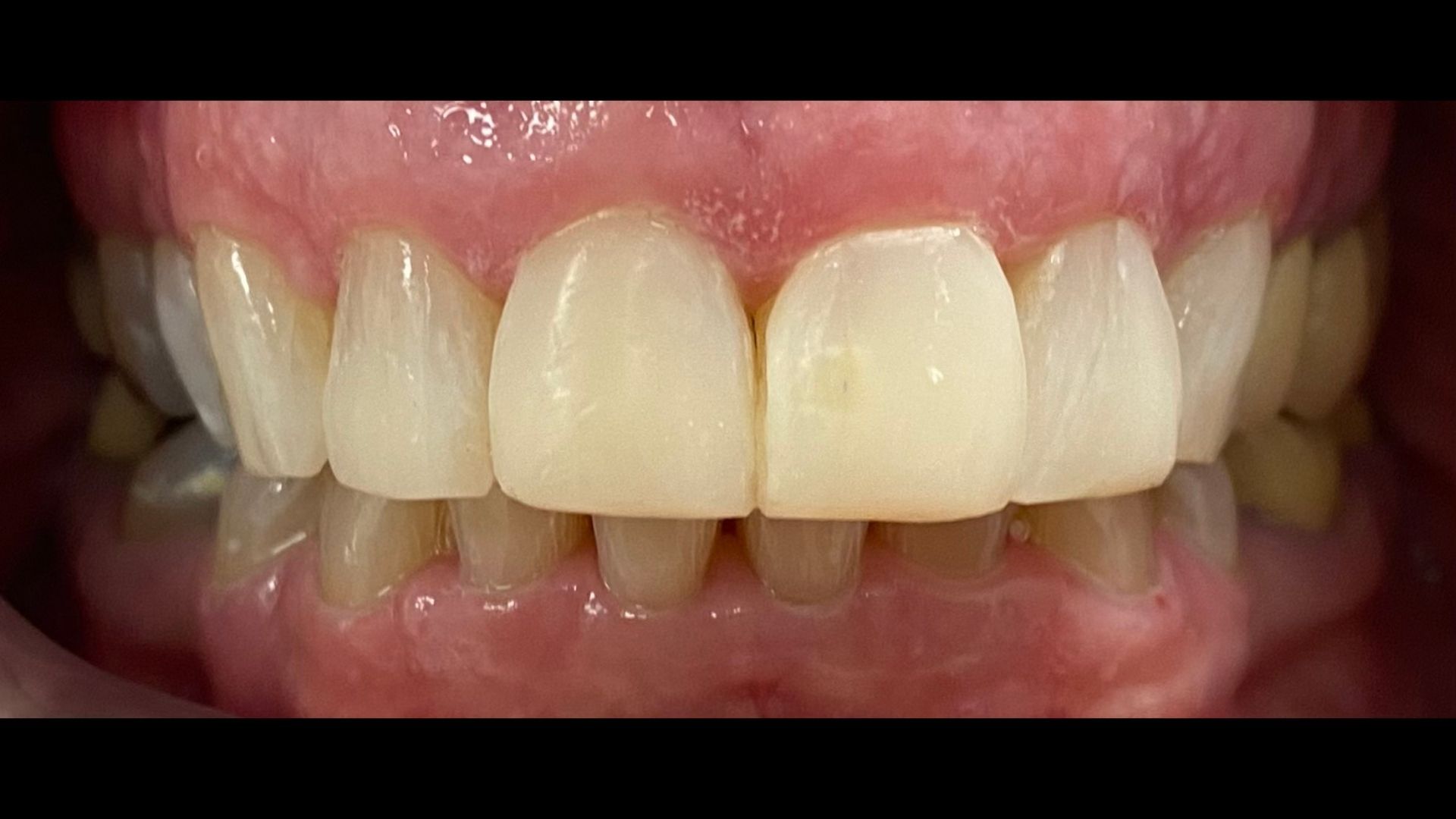
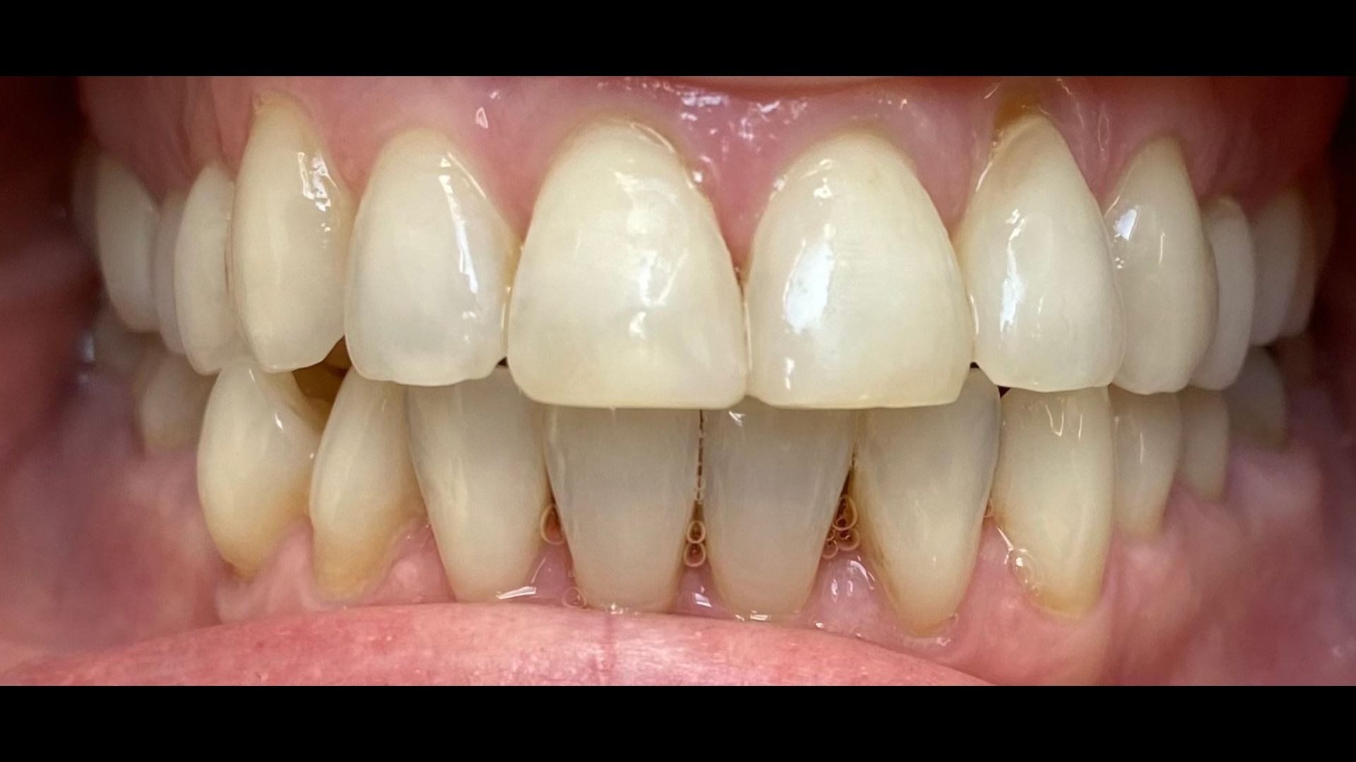
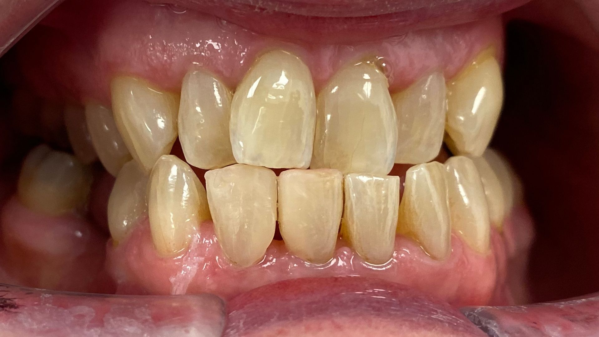
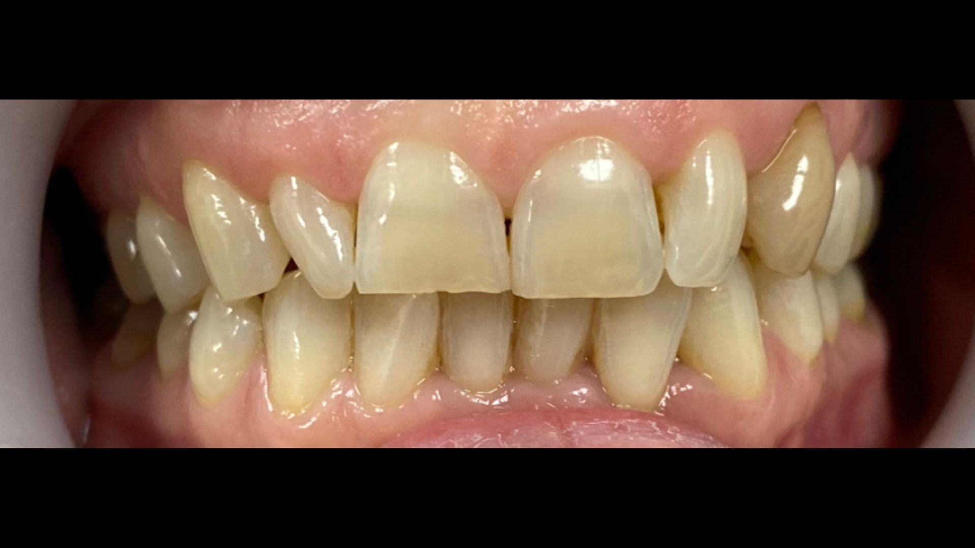
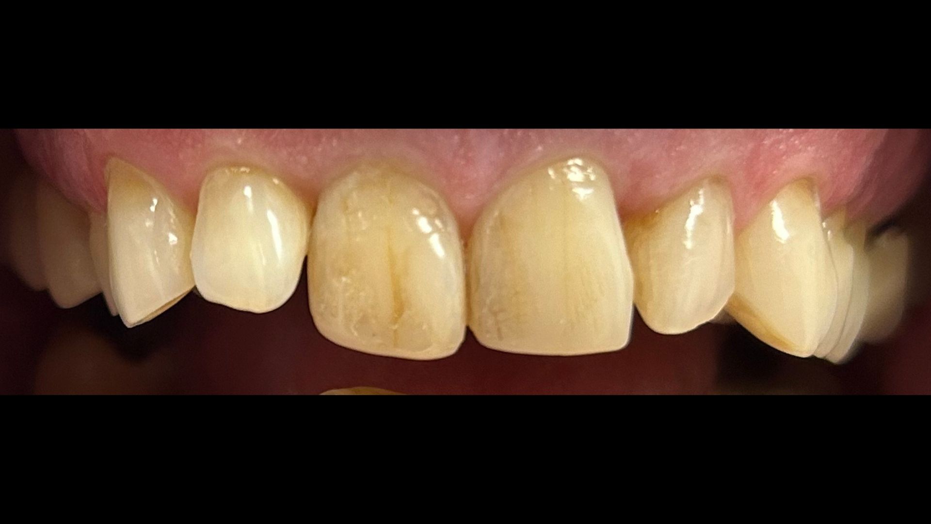
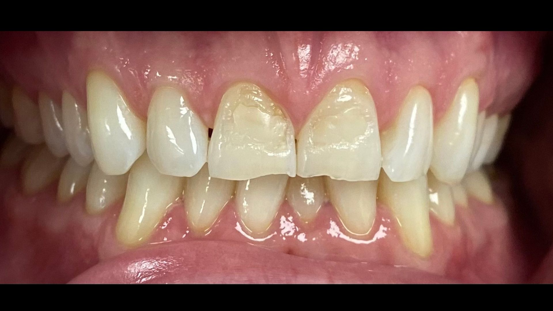
COMPOSITE BONDING CASE STUDIES
Move the slider to see before and after images.

Case 1
Composite build ups of front upper and lower teeth to fix worn teeth and improve the colour

Case 2
Combination of whitening, a crown and composite bonding to improve the patient’s smile

Case 3 Image 1 of 2
Whitening and composite build ups to restore the worn teeth and improve the smile aesthetics

Case 3 Image 2 of 2

Case 4
Composite build ups to improve the shape and colour of the teeth and also make the teeth appear more aligned/straight

Case 5
Whitening and composite bonding to improve the patient’s smile aesthetics

Case 6
Whitening and composite bonding to help improve the patient’s smile

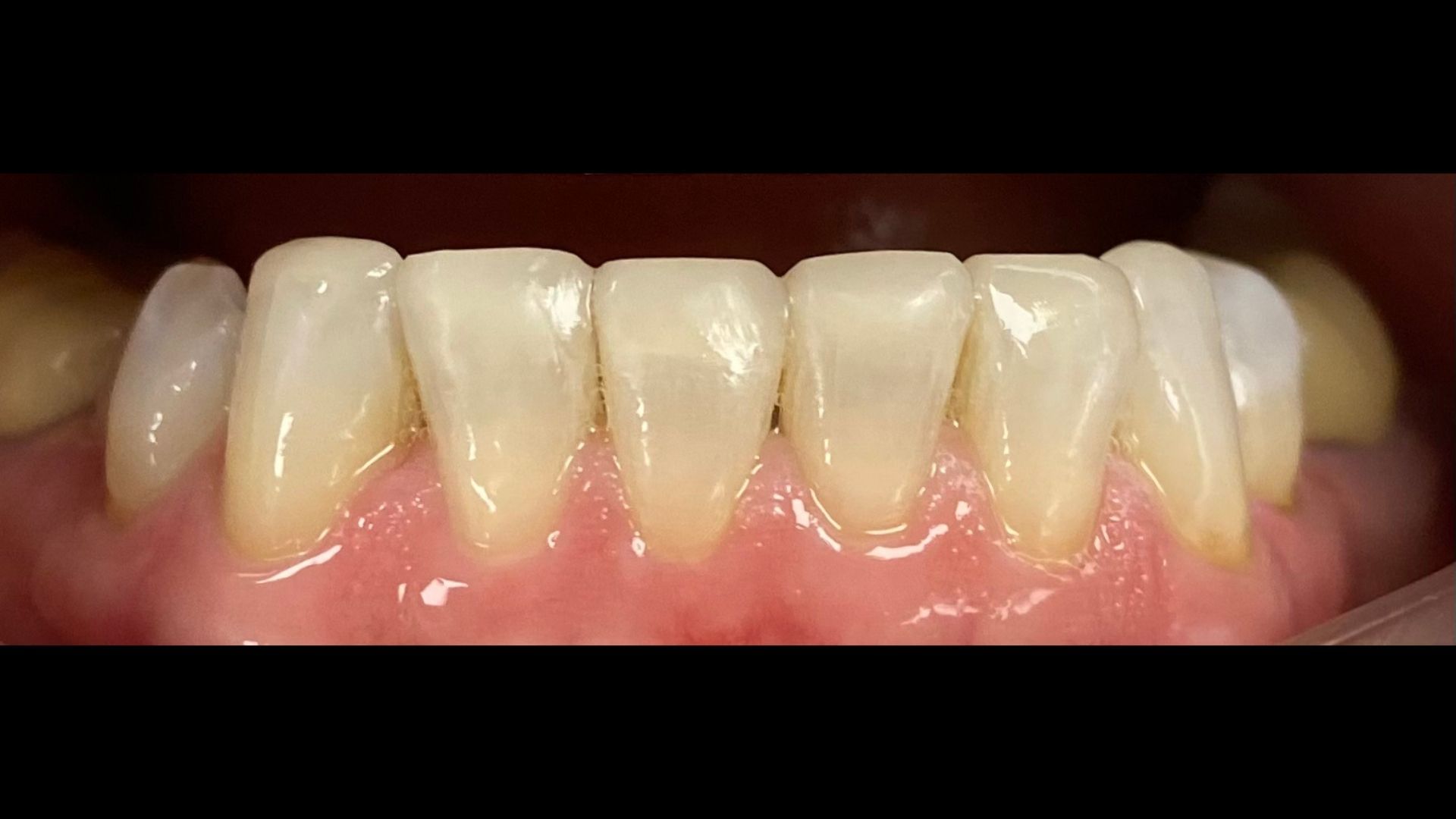
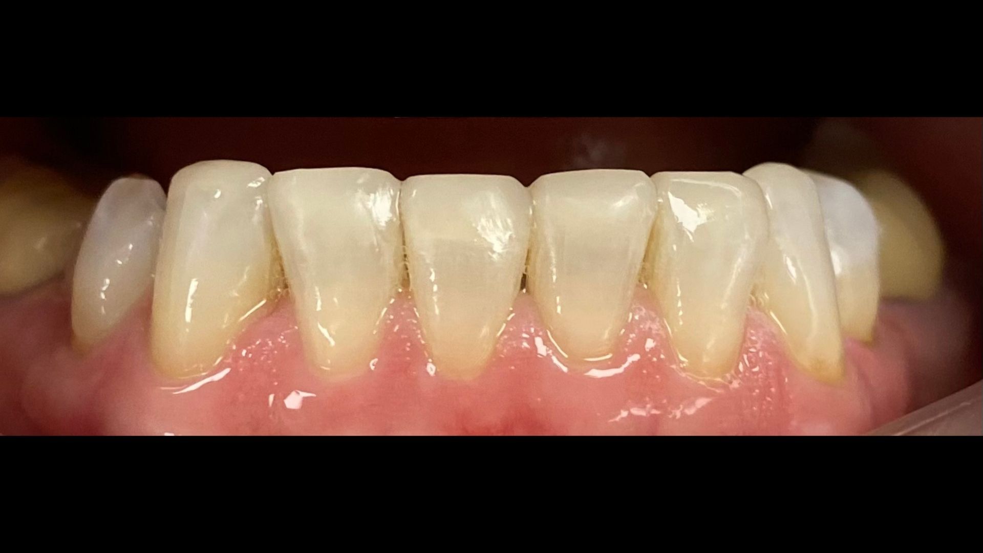
Case 7
Composite bonding to rebuild the worn lower teeth

Case 8
Whitening and composite bonding to improve the patient’s smile aesthetics

Case 9
Composite build ups to help restore the very worn dentition and improve the patient’s smile

Case 10
Composite build ups to increase the size of small/worn teeth

Case 11
Composite build ups to improve the shape and colour of the teeth and also make the teeth appear more aligned/straight

Case 12
Composite bonding to improve the patient’s smile aesthetics

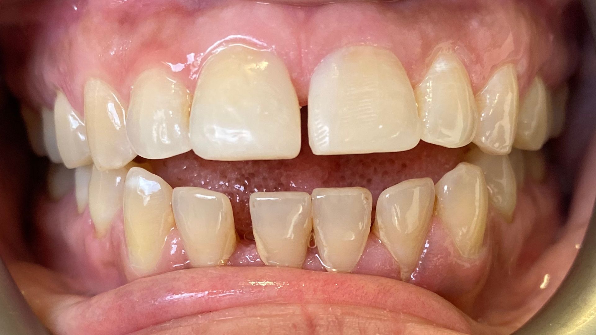
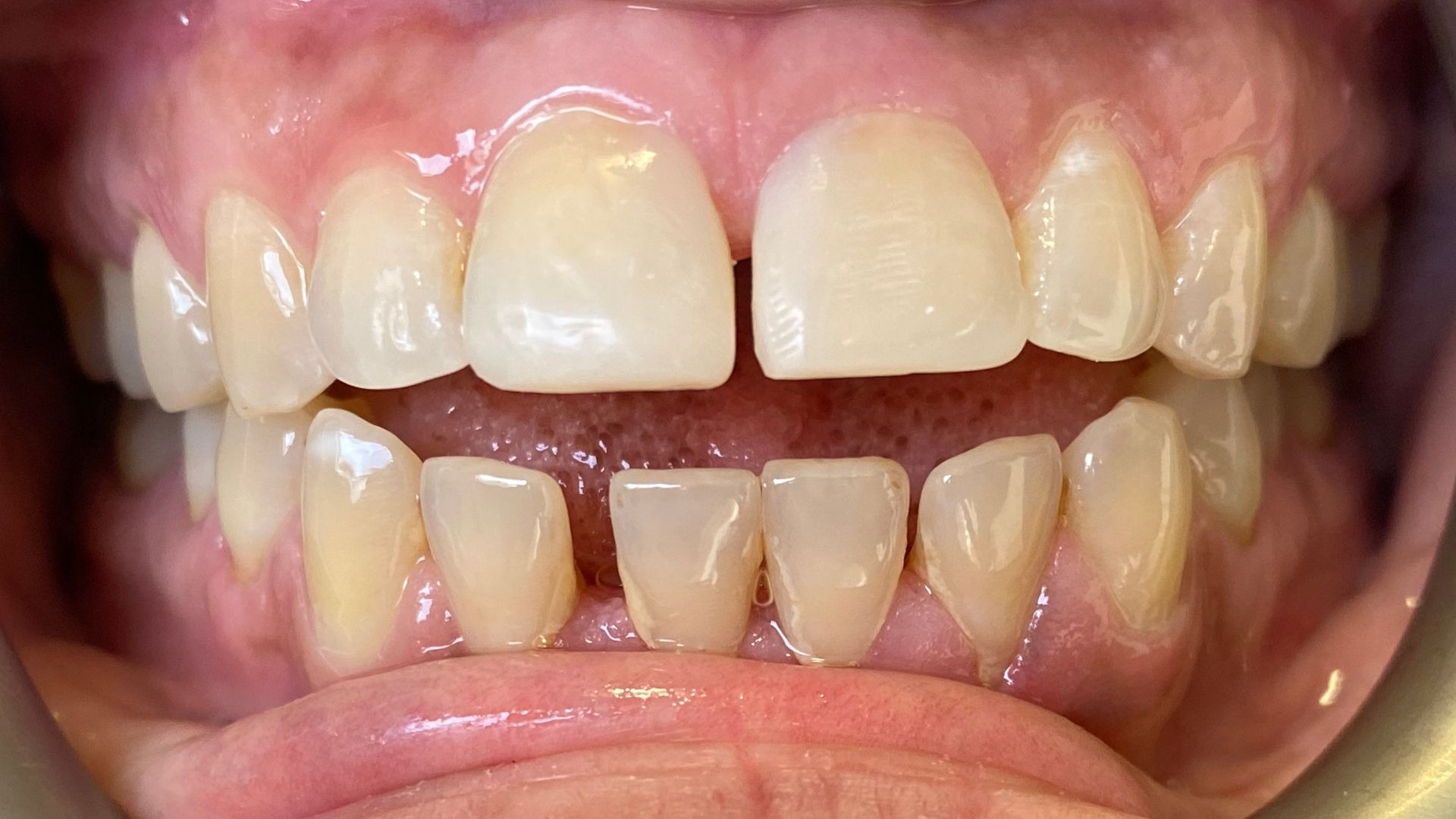
Case 13
Composite bonding to reduce size of gap between upper middle teeth

Case 14
Composite bonding to reduce size of gap between 2 lower teeth (see arrow)

Case 15
Composite bonding to reduce size of gap between upper middle teeth, improve shape of teeth and replace discoloured filling

Case 16
Composite bonding to improve the appearance of the tips of the teeth

Case 17
Composite bonding to improve the patient’s smile aesthetics
